Zubná ambulancia

057/442 23 93

+421 918 661 694

Pondelok – Piatok

7°°-12°°

Čistíte si zuby správne? Aj orálna hygiena má svoje pravidlá

Vedeli ste, že ďasno krváca len vtedy, ak je prítomný povlak? Alebo že opakovaným zdrojom herpetických chorôb môže byť zubná kefka? Poradíme vám, po akom čase ju treba vymeniť, ako správne používať medzizubnú kefku a niť, aj to, prečo je dôležité zloženie zubnej pasty.

Základné informácie

  1. Správnu ústnu (orálnu) hygienu dosiahneme iba získaním vhodných a osvedčených návykov pestovaných od útleho detstva a odborne kontrolovaných v každom veku.
  2. Dôkladná starostlivosť o ústnu dutinu, ku ktorej okrem správneho čistenia zubov patrí aj používanie pomôcok, akými sú zubná niť, medzizubné kefky alebo roztoky na vyplachovanie úst, je dôležitým predpokladom na zachovanie zdravých zubov. Ide o prevenciu, ktorej cieľom je:

    • odstránenie zvyškov potravy,

    • odstránenie zubného povlaku,

    • zabránenie vzniku zubného kazu,

    • zabránenie vzniku zápalu na tkanivách (zápal ďasien).

  3. Dôležitým faktorom predchádzania týchto chorôb je aj prevencia vo forme stomatologických, preventívnych prehliadok, správna výživa a návšteva dentálnej hygieničky.

  4. Rozhodujúcim kritériom ústnej hygieny je rozsah zubného povlaku, ktorý sa v ústach človeka vyskytuje vždy a pokrýva povrch zubov, ďasien a zubných náhrad. Je dôležité vedieť nielen to, akú zubnú kefku potrebujete, ale aj to, ako táto zubná kefka funguje a akú techniku čistenia zubov použiť, aby bola účinná.

  5. Odporúča sa používanie zubnej kefky s malou, husto osadenou hlavičkou so zaoblenými vláknami. Meniť ju treba v zásade každé dva až tri mesiace. Taktiež je potrebné vymeniť kefku po prekonaní infekcie v ústnej dutine, ako napr. angína, herpes a pod.

  6. Jednoznačne najlepšou a najúčinnejšou kefkou, ktorá dokonale dokáže vyčistiť oblasť prístupných zubných plôšok, ako i rozhranie medzi zubom a ďasnom, je jednozväzková kefka. Jej veľkosť umožňuje lepšie kontrolovať tlak, a tak čistenie touto kefkou nespôsobí poškodenie zubov ani ďasien.

  7. Na vyčistenie medzizubných priestorov sa odporúča zubná niť alebo medzizubné kefky, podľa šírky medzizubného priestoru. Správnu veľkosť a hrúbku medzizubnej kefky pomôže vybrať dentálna hygienička alebo zubný lekár.

  8. K najdôležitejším prvkom zubnej pasty patrí fluorid, ktorý brzdí tvorbu kazu, remineralizuje (vytvrdzuje, obnovuje sklovinu) počiatočné zubné kazy a zvyšuje odolnosť skloviny.

  9. Ústne vody obsahujú účinné látky, ktoré pôsobia proti vzniku zubného kazu, treba si však uvedomiť, že nikdy nenahradia mechanické čistenie zubov.

  10. Čas čistenia viac-menej nehrá žiadnu úlohu, dôležitá je kvalita čistenia zubov. Po požití kyslých jedál a nápojov by sa malo s čistením zubov nejaký čas počkať, pretože inak sa kyselinou napadnutý zub poškodí.

  11. Neodstránený zubný povlak spolu s baktériami sa považuje za zdroj infekcie, ktorá má vplyv nielen na zdravie ústnej dutiny, ale aj na celkové zdravie človeka. Najčastejšou chorobou, ktorá postihuje až 90 percent obyvateľstva, je zubný kaz.

  12. Ak si zuby dôkladne nečistíte, vytvára sa na nich zubný povlak. Postupne sa zo slín a z prijímanej potravy začnú do povlaku usádzať minerály a z mäkkého povlaku vzniká zubný kameň. Keď sa zubný kameň včas neodstráni, svojimi ostrými výčnelkami môže chronicky dráždiť ďasno a môžu vzniknúť ďalšie choroby spôsobené povlakom – zápal ďasien.

  13. Časom nastáva ústup ďasien a kosti, vznikajú vačky, kde sa povlak a kameň hromadí. Dôsledkom toho je tvorba abscesov (hnisov), úbytok kosti, ktorý vedie k zvýšenej kývavosti zubov, až k ich úplnej strate.

Základné zubné pomôcky

Zubná kefka

V súčasnosti je na trhu nespočetné množstvo zubných kefiek: odlišujú sa tvarom, materiálom či tvrdosťou. Pri výbere zubnej kefky treba prihliať na to, aby nám čo najviac vyhovovala. Dnes sa vyrábajú kefky zo syntetických vlákien, pretože v prírodných vláknach ostávali zvyšky potravy a baktérie. Odporúča sa používanie zubnej kefky s malou, husto osadenou hlavičkou so zaoblenými vláknami.

Nedá sa presne a jednoznačne odporučiť, ako dlho sa má kefka používať. Opotrebovanie zubnej kefky sa začína prvým použitím a závisí od techniky a tlaku pri čistení, od frekvencie používania a od toho, ako dlho si zuby čistíte. Opotrebovaná kefka má rozštiepené vlákna, vytvárajú sa chuchvalce, vyzerá, akoby rozkvitla, má zníženú čistiacu schopnosť a zvyšuje riziko poškodenia zubov. Kefku treba v zásade meniť každé dva až tri mesiace. Taktiež je potrebné vymeniť ju po prekonaní infekcie v ústnej dutine, ako napr. angína, herpes a pod. Málokto vie, že opakovaným zdrojom herpetických chorôb môže byť práve zubná kefka.

Jednoznačne najlepšou a najúčinnejšou kefkou, ktorá dokáže dokonale vyčistiť oblasť prístupných zubných plôšok, ako i rozhranie medzi zubom a ďasnom, je SONICKÁ ZUBNÁ KEFKA

Medzizubná kefka

Pri čistení zubov netreba zabúdať ani na medzizubné priestory, pretože zubná kefka vyčistí len 60 percent povrchu zubov a môže zanechať povlak baktérií skrytý na miestach, kam sa kefka nedostane. Na vyčistenie medzizubných priestorov sa odporúča zubná niť alebo medzizubné kefky podľa šírky medzizubného priestoru. Správnu veľkosť a hrúbku medzizubnej kefky vám pomôže vybrať dentálna hygienička alebo zubný lekár. Predpokladom na ich použitie je medzizubný priestor bez zubného kameňa.

Medzizubná kefka slúži na vyčistenie širších medzizubných priestorov, okrajov koruniek, implantátov, ortodontických aparátov a podobne. Je dôležité správne určenie veľkosti do každého medzizubného priestoru. Jej každodenným používaním dôjde k zníženiu krvácavosti ďasien a odstráneniu nepríjemného dychu už v priebehu niekoľkých dní. S používaním medzizubnej kefky je vhodné začať, keď sú vyrastené trvalé zuby, približne od veku 12 rokov.

Ako používať medzizubnú kefku?

Kefku zavádzajte do medzizubného priestoru pod miernym tlakom. Nikdy nepoužívajte silu, pretože drôtik kefky sa môže ohnúť a zlomiť. V medzizubnom priestore krúživým pohybom zasúvajte kefku smerom dnu a von z úst. Tento pohyb vykonajte iba raz, aby sa predišlo poškodeniu papily v medzizubnom priestore. Používajte ju raz denne, najlepšie večer.

Zubná niť

Zubná niť je nenahraditeľnou pomôckou pri čistení úzkych medzizubných priestorov, ktoré nie sú pre zubnú kefku dostupné. Mnohí o nej počuli, ale v skutočnosti ju používajú len 3 percentá obyvateľstva. Začiatočníkom sa odporúča voskovaná niť pre jednoduchšie zavádzanie, skúsenejším nevoskovaná niť pre jej vyššiu stieraciu schopnosť. Odporúča sa používať niť s obsahom fluóru ako lokálnu prevenciu proti zubnému kazu. Pri používaní zubnej nite je dôležitá technika jej zavádzania. Násilným zavádzaním cez medzizubný priestor môže dôjsť k zraneniu papily, čo spôsobuje ústup papily. Zubná niť sa začína používať u detí približne od 12 rokov, minimálne raz denne.

Ako používať zubnú niť?

Pripravte si niť dlhú približne 30 cm a namotajte si ju okolo prostredníkov na oboch rukách a pomocou ukazováka a palca posúvajte niť po obvode zubov jemne nahor a nadol (nikdy nepoužívajte rezavý pohyb). Na každý zub použite čistý kúsok nite tak, že si niť budete posúvať.

Doplňujúce zubné pomôcky

Zubná pasta

Zubné pasty sú kozmetické prípravky na čistenie ústnej dutiny. Podporujú mechanické odstraňovanie zvyškov jedál, zubného povlaku a pigmentov zo zubov. Obsahujú látky, ktoré brzdia tvorbu povlaku, znižujú prítomnosť baktérií (antibakteriálne zubné pasty), znižujú citlivosť zubov a obsahujú látky osviežujúce dych.

K najdôležitejším prvkom zubnej pasty patrí fluorid, ktorý brzdí tvorbu kazu, remineralizuje (vytvrdzuje, obnovuje sklovinu) počiatočné zubné kazy a zvyšuje odolnosť skloviny. Pre dospelých je určená zubná pasta s obsahom fluoridu 1 500 p. p. m a pre deti 500 p. p. m (merná jednotka počtu fluórových častíc obsiahnutá v zubnej paste). Zubná pasta obsahuje aj brúsne častice, ktoré odstraňujú zafarbený povlak, ale majú za následok aj abráziu (obrúsenie) zubnej skloviny. U ľudí s citlivými krčkami sa odporúča používanie pasty s nízkou hodnotou (35 – 40 RDA).

Ústne vody

Ústne vody patria do ďalšej skupiny látok, ktoré ovplyvňujú zubný povlak. Sú to tekuté prípravky slúžiace na vyplachovanie ústnej dutiny. Obsahujú účinné látky, ktoré pôsobia protikazovo (s obsahom fluoridu) a protizápalovo, ako aj roztoky obsahujúce liečebné látky na ničenie baktérií. Ústnu dutinu vyplachujte ústnymi vodami 2- až 3-krát týždenne v trvaní 30 až 60 sekúnd. Je potrebné si uvedomiť, že ústna voda nikdy nenahradí mechanické čistenie zubov.

Elektrické zubné kefky

Trh s dentálnymi pomôckami ide s dobou, vďaka čomu už pri čistení zubov nemusíme siahať len po klasickej manuálnej zubnej kefke. V ostatných rokoch sa veľkej obľube tešila elektrická zubná kefka, ktorú pred pár mesiacmi na tróne vystriedala práve tá sonická. 

Zásady správnej hygieny

Frekvencia čistenia

  • Čistenie ráno po zobudení a večer pred spánkom. Najdôležitejšia je večerná hygiena pred spaním. Zvyšky jedla nalepené na zuboch nám najviac škodia v noci počas spánku, pretože jazyk a pery očisťujúce zuby mechanicky sa počas spánku nehýbu, sú v režime pokoja. Tiež slinné žľazy, ktoré cez deň vyrábajú sliny riediace zubný povlak, pracujú v noci minimálne.

  • Čas čistenia: minimálne 3 minúty, ale čas viac-menej nehrá úlohu, dôležitá je kvalita čistenia zubov.

  • Po požití kyslých jedál a nápojov by sa malo s čistením zubov nejaký čas počkať, pretože inak sa kyselinou napadnutý zub poškodí. Zatiaľ môžete použiť žuvačku, ktorá zvyšuje obsah slín a neutralizuje pôsobenie kyselín, alebo výplach úst čistou vodou.

Metódy čistenia zubov a ďasien

Na čistenie zubov zubnou kefkou slúži mnoho metód. Vhodná je každá metóda, ktorá odstraňuje povlak z povrchu zuba a ďasien bez ich poškodenia. Metódu voľte podľa zručnosti, veku a stavu ústnej hygieny. Klinické štúdie ukázali, že aj na úplne vyčistených zuboch sa do troch až štyroch hodín obnovuje zubný povlak. Z tohto dôvodu je potrebné pri čistení zubov postupovať čo najkomplexnejšie. Pri ktorejkoľvek metóde čistenia vyvíjajte iba jemný tlak.

Stillmanova metóda

Ide o vibračnú metódu, ktorá sa radí medzi najvhodnejšie metódy čistenia zubov u osôb so zdravým parodontom (okolia zuba) a s atrofiou (ústupom) parodontu.

  • Postup čistenia

    Začína sa na vonkajšej strane zubov tak, že vlákna zubnej kefky priložíte na okraj ďasien zubov, ktoré smerujú a nasadajú v 45-stupňovom uhle. Jedna polovica kefky sa dotýka ďasna, druhá zubov. Kefka najprv len ľahko vibruje, a pritom sa nepohne z miesta, aby povolil zubný povlak, potom sa povlak „zotrie“ od „červeného k bielemu“, čiže od ďasna smerom k hrane zubov (obrázok č. 4.1 a 4.2). Postupujte na vnútornú plochu zubov, ktorú vyčistite rovnako ako vonkajšiu stranu (obrázok č. 4.3). Nezabudnite ani na vnútornú stranu predných zubov, ktoré treba vyčistiť krátkymi pohybmi od ďasien ku korunke zuba (obrázok č. 4.4). Žuvaciu plochu vyčistite jemnými pohybmi dopredu a dozadu (obrázok č. 4.5). Špeciálne treba dbať na oblasť zadných stoličiek a vyčistiť ich zo všetkých strán, čiže všetky ich plochy.

Bassova metóda

Je vhodná u ľudí so zdravým parodontom (okolím zuba), pri rôznych zápaloch a opuchoch ďasien, ale aj u ľudí s parodontálnymi vačkami (priestor, ktorý sa vytvorí vplyvom zápalu medzi zubom a tkanivom, obklopuje zub a smeruje do hĺbky ku koreňu).

 

Postup čistenia

 

Vlákna zubnej kefky smerujú pod ďasno v 30-stupňovom uhle, kde robte drobné vibračné pohyby na mieste. Tým odstránite povlak spod ďasna a zároveň ďasno masírujete. Po vykonaní vibračných pohybov posúvajte kefku smerom k hrane zuba, aby ste povlak stiahli smerom von. Postup opakujte na všetkých zuboch.

Aká metóda čistenia nie je vhodná?

Za nevhodnú metódu čistenia zubov sa považuje horizontálna metóda, pri ktorej vlákna kefky dosadajú kolmo na zub a pohybujú sa dopredu a dozadu. Pri tejto metóde dochádza postupom času k poškodeniu krčkov.

Aké sú riziká nesprávnej hygieny?

Nesprávna technika čistenia zubov, vybratie nesprávnej dentálnej pomôcky, opotrebovaná zubná kefka či vyvíjanie silného tlaku pri čistení zubov majú za následok výrazné poškodenie ďasna a zároveň obnaženie krčkov a ich citlivosť. Pri permanentnom dráždení môže dochádzať k zápalovým procesom na ďasne a ku krvácaniu ďasien. Poškodené krčky mávajú ľudia, ktorí si veľmi dlho a často čistia zuby s použitím silného tlaku a abrazívnej (obrusujúcej) zubnej pasty. Poškodenie vidieť najmä na bočných úsekoch zubov. Ak si nie ste istí správnym výberom dentálnej pomôcky a správnou technikou čistenia, mali by ste navštíviť dentálnu hygieničku, ktorá vám pri výbere dentálnych pomôcok pomôže a naučí vás, ako si správne čistiť zuby.

Následky nesprávnej hygieny

Príjmom potravy a nápojov sa na zuboch usádzajú mäkké nánosy – tzv. zubný povlak. Zubný povlak patrí k základným činiteľom chorôb ústnej dutiny a je rezervoárom baktérií, ktoré svojimi kyslými produktmi poškodzujú zubnú sklovinu a spôsobujú vznik zubného kazu, zápal ďasien, choroby ústnej sliznice a v konečnom dôsledku až stratu zubov. Neodstránený zubný povlak spolu s baktériami sa považuje za zdroj infekcie, ktorá má vplyv nielen na zdravie ústnej dutiny, ale aj na celkové zdravie človeka. Najčastejšou chorobou, ktorá postihuje až 90 percent obyvateľstva, je zubný kaz.

Zubný kaz

Postihuje tvrdé zubné tkanivo – zub. Základnou príčinou vzniku zubného kazu je pôsobenie baktérií zo zubného povlaku, ktoré premieňajú cukry z potravy na kyseliny. Tie naleptávajú sklovinu, a tak ju rozpúšťajú, následkom čoho vzniká zubný kaz. Spočiatku sa javí ako biela škvrna na zube. Tento proces, tzv. demineralizácia (odvápnenie skloviny), sa dá zastaviť používaním fluoridových prípravkov. Ak sa však zubný kaz včas neošetrí, preniká hlbšie do zuba a môže spôsobiť až odumretie zuba. Pacient pociťuje bolesť pri konzumácii sladkej a studenej potravy. Prevencia zubného kazu spočíva v používaní fluoridových prípravkov (zubná pasta, gély), v dokonalej hygiene ústnej dutiny, v obmedzení jednoduchých cukrov v potrave (zákusky, cukríky, sladké pečivo) a v správnej výžive, ktorá je bohatá na bielkoviny, vitamíny, minerály a stopové prvky.

Zubný povlak

Zubný povlak sa tvorí na povrchu zuba pár minút po očistení zubov. Spočiatku ho vidíme ako mäkký biely nános na povrchu zuba, s krémovou konzistenciou. Dlhšie neodstránený povlak voláme zrelý zubný povlak, je žltkastej farby, pokrýva povrch zuba a ďasien v miestach s nedokonalým samoočisťovaním, pri nedostatočnej hygiene ústnej dutiny a dá sa odstrániť mechanicky zubnou kefkou. Ak si zuby dlhšie dôkladne neočistíte, zo slín a z prijímanej potravy sa začnú do povlaku usádzať minerály a z mäkkého povlaku vzniká zubný kameň. Zubný povlak sa na zuboch tvorí permanentne, a preto by ste mali jeho odstráneniu venovať dostatočnú pozornosť.

Zubný kameň

Zubný kameň je v podstate zmineralizovaný zubný povlak. Voľným okom sa dá ľahko rozpoznať, je žltej až hnedej farby, u fajčiarov až čierny. Na dotyk môže byť drsný, nie však u každého. Najčastejšie sa vyskytuje pri vývodoch slinných žliaz a to na horných zuboch v oblasti zadných stoličiek a na spodnej časti, zvyčajne na strane jazyka. Zubný kameň sa nedá odstrániť bežným čistením zubov. V tomto prípade treba navštíviť dentálnu hygieničku alebo zubného lekára, ktorí pomocou ultrazvuku a špeciálnych kyriet (ostré nástroje na odstránenie zubného kameňa) kameň dokonale odstránia. Tento zákrok nie je bolestivý, ale nepatrí medzi najpríjemnejšie. Nepríjemné sú zvuky pri škrabaní kameňa zo zubov a môže sa vyskytnúť aj jemná citlivosť. Ak sa zubný kameň včas neodstráni, svojimi ostrými výčnelkami môže chronicky dráždiť ďasno a môžu vzniknúť ďalšie choroby spôsobené povlakom – zápal ďasien.

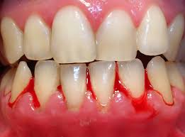
Zápal ďasien (gingivitis)

Zápal ďasien je ochorenie, ktoré sa radí k začiatočným štádiám parodontitídy (zápal okolitého tkaniva zubov) a je spôsobené bakteriálnym zubným povlakom. Prvým príznakom zápalu ďasna je začervenanie a opuch. Nie je bolestivý, preto zostáva nepovšimnutý. Ďasno krváca najmä pri ľahkom podráždení, akým je napr. čistenie zubov. Pokiaľ sa zubný povlak neodstráni, k baktériám pribudnú ďalšie, ešte nebezpečnejšie mikroorganizmy. Ich toxíny (nebezpečné látky, ktoré produkujú mikroorganizmy) narúšajú vlákna, ktorými je prichytené ďasno ku kosti a k zubu, a tie začnú prenikať hlbšie pod ďasno.

Časom nastáva ústup ďasien a kosti, vznikajú vačky, kde sa povlak a kameň hromadí. Dôsledkom toho je tvorba abscesov (hnisov), úbytok kosti, ktorý vedie k zvýšenej kývavosti zubov až k ich úplnej strate. Netreba však zabúdať, že permanentný zápal v ústnej dutine spôsobuje šírenie baktérií krvnou cestou do celého tela, kde môže dochádzať k poškodeniu organizmu. Vtedy hovoríme o fokálnej infekcii (celková infekcia šíriaca sa krvnou alebo lymfatickou cestou do celého tela).

Ako rozoznať zdravé ďasno od chorého?

Zdravé ďasno má ružovú farbu a pri zápale sa mení na červenú až fialovú. Pri nesprávnej hygiene sa veľmi často vyskytuje nepríjemný zápach z úst, ktorý môže byť vyvolaný neodstráneným zubným povlakom, pokazenými zubami alebo zvyškom potravy v zuboch a v medzizubných priestoroch. Nie je pravda, že miesta, ktoré nekrvácajú, netreba čistiť. Rovnako netreba veriť tvrdeniu, že miesta krvácajú, pretože si ich ľudia čistia.

Treba podotknúť, že ďasno krváca len vtedy, ak je prítomný povlak: čím viac ďasno krváca, tým viac sa musíte venovať ústnej hygiene. Po správnom očistení zubov musíte cítiť, že plôšky sú lesklé a hladké. Na hladkej ploche sa povlak ťažšie udrží, a tak zabraňujeme zachytávaniu povlaku na zuboch. Ku kontrole správneho čistenia poslúžia i detekčné tabletky, ktoré sú ukazovateľom správneho očistenia zubov. Tam, kde ste si nedostatočne umyli zuby alebo kde sa nachádza dlhodobo neodstránený zubný povlak, sa zub zafarbí na tmavofialovo. Tam, kde máte dostatočne očistené zuby alebo kde sa nachádza len minimálne množstvo povlaku, sa zub zafarbí na bledoružovú farbu.

Prevencia

Patríme medzi európske krajiny s najhorším chrupom. Štatistiky hovoria, že len každý piaty človek si čistí zuby dvakrát denne, a tak choroby zubov trápia až 95 percent z nás. Prevencia sa začína doma v kúpeľni pred zrkadlom pravidelným čistením zubov. Je dôležité dodržiavať správnu hygienu ústnej dutiny v období medzi pravidelnými návštevami zubného lekára či dentálnej hygieničky, a tak zabrániť vzniku chorôb zubného kazu a zápalom ústnej dutiny.

 

Stomatologická preventívna prehliadka

Je zameraná na predchádzanie vzniku chorôb chrupu a ústnej dutiny. V detskom veku je zameraná hlavne na prevenciu zubného kazu, ortodontických odchýlok (čeľustné odchýlky). Ani v dospelosti netreba podceňovať návštevu zubného lekára, ktorý dôkladne vyšetrí chrup a včas podchytí počiatočné kazy. Dospelý by mal absolvovať preventívnu prehliadku raz do roka a deti do 18 rokov dvakrát za rok.

Profesionálne čistenie zubov

Profesionálne čistenie zubov, tzv. profesionálna dentálna hygiena, patrí k ďalším preventívnym opatreniam. Zahŕňa dôkladné vyšetrenie ústnej dutiny, následné vysvetlenie a inštruktáž správnej techniky čistenia s dentálnymi pomôckami, profesionálne odstránenie zubného povlaku a kameňa ultrazvukom a špeciálnymi kyretami (nástrojmi na odstránenie zubného kameňa). Dentálna hygienička následne preleští zubné plôšky a aplikuje špeciálne fluoridové prípravky, čím zabráni vzniku zubného kazu. Je vhodné ju absolvovať dvakrát do roka.

Výživa

K prevencii patrí aj výživa. Konzumujte pestrú vyváženú stravu bohatú na minerály, bielkoviny, vitamíny a stopové prvky (chránia organizmus pred škodlivinami z vonkajšieho prostredia, zabezpečujú obranyschopnosť organizmu – patria sem napr. fluór, jód, železo). Netreba však zabúdať ani na príjem tukov a cukrov ako zdroja energie. Odporúča sa prijímanie tvrdšej potravy, ktorá zabezpečí mechanické očistenie chrupu od zubného povlaku.

Snažte sa obmedzovať príjem cukru vo forme sladkostí, medu, cukroviniek. Preferujte náhradné nekalorické sladidlá, ktoré nepoškodzujú zuby. Nezabúdajte ani na tzv. skrytý cukor v potravinách, ako kečup, sirupy, lepkavé pokrmy, ktoré negatívne vplývajú na tvorbu zubného kazu. Obmedzovať treba aj príjem kyslých jedál a nápojov (kola, víno), pretože obsahujú veľké množstvo kyseliny fosforečnej, ktorá naleptáva sklovinu a tým ju ničí (odvápnenie skloviny spôsobuje vyššie riziko vzniku zubného kazu). Po vypití takéhoto nápoja si treba ústa aspoň vypláchnuť čistou vodou. Zneutralizujú sa tak kyseliny, čím predídete poškodeniu skloviny. Medzi potraviny, ktoré podporujú vznik zubného kazu, patria okrem cukru aj škroby (zemiaky), sacharidy (cestoviny, celozrnné pečivo), určité druhy ovocia (banány obsahujú ovocný cukor).

Fluoridácia

Fluoridácia zubov patrí medzi účinne preventívne prostriedky, ako predchádzať zubným kazom. Okrem každodennej niekoľkominútovej  ale dôslednej starostlivosti o zuby, myslite aj na  ich fluoridáciu. Stačí len raz týždenne.  Fluoridácia totiž znižuje kazivosť zubov a zvyšuje odolnosť zubnej skloviny voči zubnému kazu.  Kým v minulosti sa preferovala skôr celková fluoridácia, dnes sa uplatňuje predovšetkým  lokálna fluoridácia.

Samotná starostlivosť o zuby má bohatú históriu a siaha až do obdobia Etruskov. Keď to zvládli oni, prečo by ste to nezvládli aj vy. Potvrdzujú to aj výsledky dlhodobého dôsledného prístupu obyvateľov Švajčiarska k pravidelnej starostlivosti o zuby, kde už 50 rokov na ochranu pred zubným kazom používajú aj intenzívnu systematickú fluoridáciu zubov. Vďaka tomu má dnes väčšina Švajčiarov aj vo vyššom veku svoje zuby a nemusí siahať po zubných náhradách. Slúži im ich vlastný chrup!

Fluór zohráva veľmi dôležitú úlohu v prevencii zubného kazu – znižuje kazivosť zubov a zvyšuje odolnosť zubnej skloviny.  Kým v minulosti sa používal predovšetkým celkovo vo forme tabliet  s účinkom na neprerezané zuby, dnes sa používa predovšetkým lokálne – miestnou aplikáciou fluoridových prípravkov na už prerezané zuby. Preukázalo sa totiž, že na prevenciu zubného kazu je dôležitý voľný fluórový ión koncentrovaný na povrchu zuba a nie zabudovaný do zubných štruktúr. Z tohto dôvodu je  fluór dôležitou súčasťou  produktov zubnej hygieny ako sú fluoridované pastyfluoridované ústne vody a fluoridované gély

Klinické štúdie potvrdili, že fluoridy, zvlášť ich organická forma – aminfluoridy, majú vysokú účinnosť proti zubnému kazu. Ich schopnosť remineralizovať zubnú sklovinu a dokonca zastaviť aj tvorbu začínajúceho zubného kazu, dokazuje ich nezastupiteľnú úlohu, zvlášť v prevencii zubného kazu.

Fluór je možné do organizmu podávať aj celkovo (vnútorne) či už vo forme fluoridových tabliet, fluoridáciou vody, mlieka alebo kuchynskej soli. V súčasnosti sa fluoridové tablety už nepoužívajú celoplošne u detí predškolského veku ako v minulosti, ale len u vybraných detí so zvýšenou náchylnosťou na zubný kaz a kde hrozí riziko masívneho postihnutia zubov kazom.   Ich indikácia je v rukách stomatológa a pediatra, ktorí najlepšie poznajú zdravotný stav dieťaťa a  jeho rodinnú anamnézu. 

ZAVOLAŤ